鹿児島県薩摩川内市の小児歯科 こわくない痛くない楽しい歯医者-しげたこども歯科

小児歯科・矯正歯科・定期検診 TEL.0996-24-2564 鹿児島県薩摩川内市平佐町3605-11

MFTについて

MFT(口腔筋機能療法)とは?

口腔筋機能療法Oral Myofunctional Therapy(オーラル マイオ ファンクショナル セラピー)の略で、舌やお口の周りの筋肉不調和を、筋肉の訓練により、調和のとれた口腔環境に改善する方法です。

歯並びや咬み合わせの形成には、遺伝だけでなく幼少期の生活習慣や癖なども大きな影響を及ぼしています。
歯の位置は歯列を取り囲む舌やお口の周りの筋肉(オトガイ筋・口輪筋・頬筋)のバランスにより影響を受けます。

歯列に加わる筋圧のバランスを整えることで歯列の正常な形態を維持できるんだね

舌の癖や指しゃぶりが開咬(図1)や上顎前突(図2)を招くほか、アレルギー性鼻炎などによる口呼吸(図3)の習慣が、お口周りの筋肉の弛緩(しかん)につながることもあります。

口腔筋機能療法(MFT)は、こうした後天的な筋肉の不調和を舌や口唇、頬などの口腔顔面筋のトレーニングを通して整えていく療法です。
咀嚼時、嚥下時、発音時、安静時の舌や唇の位置の改善、および呼吸をはじめとした口腔機能の改善効果が期待できます。

歯並びが乱れる癖や習慣

歯並びが乱れる癖や習慣として指しゃぶり、舌癖、口呼吸、歯ぎしり・食いしばり、片咬み、爪かみ・唇咬み、頬杖、うつ伏せ寝・横向き寝、早食い・丸のみ などがあります。
こどもの身体は成長段階にあるため、柔軟で比較的小さな負荷でも歯並びや咬み合わせに悪影響を与えてしまいます。

このうちMFTでの改善が推奨される代表的なケースとして挙げられるのが指しゃぶりと舌突出癖です。ここから少し、舌癖について説明します。

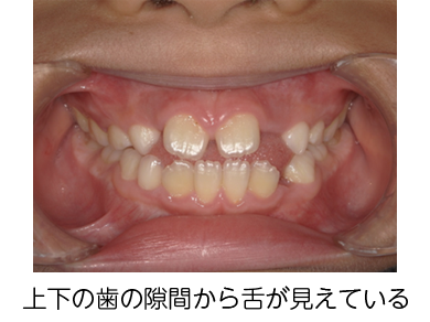
また舌突出癖が認められる患者さんは、安静時に舌が低位にあり、舌の先が下の前歯の裏側に接触していて、上下の歯の隙間から舌が見えていることもあります。この状態を低位舌(ていいぜつ)といいます。

前にもお話ししましたが歯の位置は、歯列を取り囲む舌やお口の周りの筋肉(オトガイ筋・口輪筋・頬筋)のバランスにより影響を受けています。なので、舌の癖や口呼吸などでバランスが崩れると歯並びに影響を及ぼしてしまいます。

MFTの訓練内容

MFTは①個々の筋肉の訓練、②咀嚼・嚥下の訓練,③口唇と舌の姿勢位(普段の位置)の訓練の3つの要素で構成されています。

①個々の筋肉の訓練

②咀嚼嚥下の訓練

③口唇と舌の姿勢位の訓練

個々の筋肉の訓練では、舌、口唇、咀嚼筋などそれぞれの筋肉の機能改善をはかります。
筋力を強化するだけでなく、緊張しすぎている筋肉をリラックスさせ、全体的に調和のとれた状態を目指します。

咀嚼・嚥下の訓練では、お口の中が営む主な機能である、咀嚼・嚥下・発音・呼吸などの総合的な改善を図ります。

口唇と舌の姿勢位の訓練では、安静時にいつも“口唇・舌・下顎が正しい位置にある”ことを目指すとともに、必要に応じて全身の姿勢の改善、頬杖や寝相などの“態癖”の改善を行います。

当院のMFTの流れ

初回検査

所要時間:
1時間

内容:
問診 写真撮影
発音チェック
口唇閉鎖力検査

矯正検査

所要時間:
1時間

内容:
写真撮影 レントゲン撮影
お口の型取り

治療計画の説明・治療開始

所要時間:
30分~1時間

内容:
口腔機能トレーニング

口腔機能チェック(月1)

所要時間:
30分~1時間

内容:
口腔機能トレーニング
※3か月毎に定期検診とフッ素も行います。

再評価の検査(治療開始から6か月後)

所要時間:
1時間

内容:
初回検査と同じ

再評価・今後の治療検討

検査時の資料に基づいて再評価します。
トレーニングは長期的になる可能性もあります。

MFTの効果